Kosmetisk behandling

Form og farve​

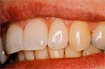
​Der er ingen grund til at gå rundt og være ked af grimme fortænder. En knækket fortand kan bygges op igen, og både formen og farven kan ændres.


På billederne på denne side er tænderne ændret med plast. Det er forholdsvis nemt at gøre, men i nogle tilfælde må behandlingen gentages med nogle års mellemrum, fordi plast kan skifte farve.

Udskiftning af gamle fyldninger

Plastfyldninger kan blive misfarvede med tiden - gule og kedelige at se på. Nye fyldninger får fortænderne til at se hele ud igen.

Plast kan også anvendes i kindtænderne til mindre fyldninger. Skal der laves en ny fyldning, eller er der behov for at udskifte en sølvamalgam-fyldning, er det en mulighed at bruge plast.
Det kan også være en god ide at komme plast i en rodbehandlet tand, så knækker den ikke sa nemt som med en sølvamalgam-fyldning.

Kolt Tandlæge Center v/Elizabet Helle

Kolt BC

Kolt Østervej 33
8361 Hasselager
Tlf: 86 28 94 40
Mail: mail@tandlaegerne-kolt.dk

Kolt Tandlæge Center v/ Elizabet Helle

Mandag:    7:30  - 16:00

Tirsdag:     7:30  -  16:00

Onsdag:     7:30  - 16:00

Torsdag:    7:30  -  16:00

Fredag:      8:00  -  12:00

​Lørdag:       efter aftale

Se hvornår vi har ferielukket her​